Skip Navigation
Skip to contents
메뉴보기
학회소개
인사말
연혁
학회 회원
지부 현황
기구 및 임원
회칙
윤리강령
학회사무국
흉부외과 백서
흉부외과 화보집
공지사항
공지사항
언론기사
회원공지
보험공지
복지부고시
자료실
학회지
학회지 발행현황
논문검색
투고규정
Submission
학술행사
국내외 행사일정
학술대회 개최연혁
지난 학술대회
집담회
진행중인 학술행사
전공의
전공의 연수교육
전공의 수첩
수련병원
전공의 학회규정
전공의 공지사항
체외순환사
체외순환사협회
체외순환사인증시험
학회자료
데이터 베이스
각 분과 리스트
각 분과 리스트
회원공간
자유게시판
간행위원회
포토갤러리
구인구직
관련사이트
마이페이지
KOR
ENG
ENGLISH
HOME
Login
JOIN
흉부외과 화보집
현재 페이지 경로
HOME
학회소개
흉부외과 화보집
HOME
학회소개
인사말
연혁
학회 회원
지부 현황
기구 및 임원
회칙
윤리강령
학회사무국
흉부외과 백서
흉부외과 화보집
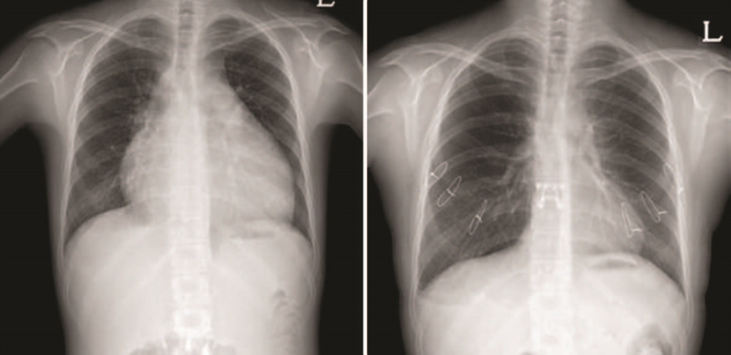
[ 대한민국 흉부외과의 발전 ]
144 국내 첫 생체 폐이식 성공
작성일
2019.10.07
조회수
427
다운로드
목록
TOP